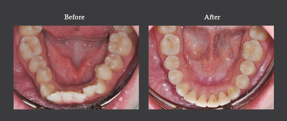
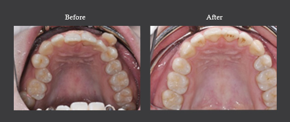
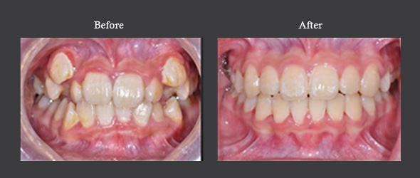
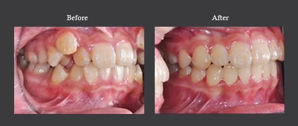
什麼是齒列矯正?
齒列矯正是透過牙套等矯正裝置,調整牙齒排列、咬合與顎骨結構,使牙齒更整齊、美觀並改善咀嚼功能。
矯正流程
-
STEP.01
初診評估與拍攝X光+側顱X光
-
STEP.02
設計矯正計畫
-
STEP.03
安裝矯正裝置(傳統/隱形)
-
STEP.04
定期回診追蹤與調整
-
STEP.05
完成矯正後戴上維持器







