什麼是微創植牙?
只需要足夠植入植體的小洞,減輕疼痛,恢復速度也很快。
- 適合對象
- 牙槽骨條件良好者
- 希望快速復原、減少腫脹與不適者
- 優點
- 傷口小、恢復快
- 出血量少
- 縮短手術與癒合時間
- 美觀效果佳
- 即拔即植
首頁 > 微創植牙
只需要足夠植入植體的小洞,減輕疼痛,恢復速度也很快。

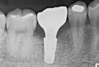
當牙齒因外傷或蛀牙缺失時,透過植入鈦金屬牙根,再安裝假牙,恢復原有牙齒的功能與美觀。


Before術前
After術後
Before術前
After術後